
Γυναίκα 89 ετών με σοβαρή παραμόρφωση του γόνατος δεξιά πρινν και μετά την εξατομικευμένη αρθροπλαστική γόνατος PSI.
Μια από τις σημαντικότερες εξελίξεις στην ιστορία της ορθοπαιδικής αποτελεί η ολική αντικατάσταση της άρθρωσης του γόνατος με ειδικά υλικά. Η πρώτη επέμβαση έγινε το 1968 και μέχρι σήμερα η βελτίωση των χειρουργικών τεχνικών και υλικών αναβαθμίζει διαρκώς την αποτελεσματικότητά της.
Σήμερα με την βοήθεια της ηλεκτρονικής τεχνολογίας και της χειρουργικής τεχνογνωσίας, η επέμβαση της ολικής αρθροπλαστικής του γόνατος αλλάζει σελίδα.
Η νέα εποχή της εφαρμογής στον ασθενή των εξατομικευμένων εμφυτευμάτων της αρθροπλαστικής, προσδίδει την απόλυτη εναρμόνιση των υλικών με την ειδική ανατομία του κάθε ανθρώπου ξεχωριστά που έχει την ανάγκη αντικατάστασης της άρθρωσης του γόνατος.
Μπορεί να εφαρμοστεί σε ασθενείς που πάσχουν από αρθρίτιδα η οποία έχει προσβάλλει σημαντικά την άρθρωση (οστεοαρθρίτιδα, ρευματοειδής αρθρίτιδα, μετατραυματική προχωρημένη αρθρίτιδα κ.α.)
Η εξατομικευμένη αρθροπλαστική του γόνατος (Patient Specific Instrument PSI), διαφοροποιείται από την κλασική μέθοδο στο ότι οι οδηγοί τοποθέτησης των εμφυτευμάτων που θα τοποθετηθούν στο μηριαίο οστούν και στη κνήμη (άρθρωση του γόνατος), κατασκευάζονται σύμφωνα με τις ανατομικές ιδιαιτερότητες του ατόμου λαμβάνοντας υπ όψιν τις ειδικές κλίσεις και στροφές που έχει όλο το κάτω άκρο.
Για την επίτευξη αυτού απαιτείται μια διαδικασία μελέτης και δημιουργίας του εμφυτεύματος από ομάδα εξειδικευμένων ανθρώπων η οποία ξεκινά από τον ειδικό Ορθοπαιδικό, τους εμβιομηχανικούς επιστήμονες και τέλος τα ειδικά κέντρα ανάπτυξης και δημιουργίας των εμφυτευμάτων στο εξωτερικό.
ΔΙΑΔΙΚΑΣΙΑ
Μετά την κλινική εξέταση και την μελέτη των ακτινογραφιών από τον εξειδικευμένο Ορθοπαιδικό, ο ασθενής θα κάνει αξονική τομογραφία τριών σημείων (γόνατο, ισχίο και ποδοκνημική άρθρωση).
Αξονική τομογραφία τριών ανατομικών σημείων (ισχίο, γόνατο και ποδοκνημική) για την δημιουργία του τρισδιάστατου ηλεκτρονικού ανατομικού μοντέλου της άρθρωσης του γόνατος του ασθενούς καθώς και το 3D printing μοντέλο. Η αξιολόγηση του κάτω άκρου γίνεται ως εννιαία ανατομική μονάδα.
Κατόπιν οι εξετάσεις στέλνονται σε ειδικό Κέντρο στο εξωτερικό (Βρυξέλλες) και ειδική ομάδα επιστημόνων με την βοήθεια της ηλεκτρονικής τεχνολογίας αιχμής και σε συνεργασία με τον θεράποντα Ορθοπαιδικό δημιουργούν τους οδηγούς τοποθέτησης των εμφυτευμάτων της αρθροπλαστικής του γόνατος το οποίο μπορεί να εφαρμοστεί στον συγκεκριμένο ασθενή και μόνον. Η διαδικασία διαρκεί 20 ημέρες περίπου.
Πρόγραμμα επεξεργασίας των παραμέτρων (άξονας, κλίσεις, στροφές), του γόνατος του κάθε ατόμου ξεχωριστά. Εικονική τοποθέτηση του υλικού πριν το χειρουργείο στον ηλεκτρονικό υπολογιστή – ψηφιακή τεχνολογία.
Οι οδηγοί εφαρμογής των εμφυτευμάτων αποστέλλονται στον θεράποντα ιατρό ο οποίος ειδοποιεί τον ασθενή για την επιτέλεση της χειρουργικής επέμβασης.
Ειδικοί εξατομικευμένοι οδηγοί πάνω στα 3D printing προπλάσματα του γόνατος του ασθενούς (μηριαίο και κνήμη).
Η ανατομία και το μέγεθος του γόνατος διαφέρουν από άτομο σε άτομο και για αυτό τον λόγο η μέθοδος PSI θεωρείται σήμερα η ασφαλέστερη. Η γνώση των λεπτομεριών προ του χειρουργείου
εξασφαλίζει την σωστή και ακριβής εφαρμογή των εμφυτευμάτων.
Εφαρμογή των εξατομικευμένων οδηγών PSI για την διενέργεια των οστεοτομιών.
Το πλάνο της διαδικασίας παραδίδεται στον ασθενή με την εγγύηση της ZIMMER BIOMET USA, και της εταιρίας MATERIALISE.
ΠΛΕΟΝΕΚΤΗΜΑΤΑ ΤΗΣ ΝΕΑΣ ΜΕΘΟΔΟΥ
• Η απόλυτη μέτρηση του μηχανικού άξονα του άκρου με την αξονική τομογραφία και μελέτη των ιδιαιτεροτήτων της άρθρωσης του γόνατος του κάθε ατόμου ξεχωριστά, καθώς και της διαφοροποίησης του γόνατος ανάλογα με το φύλο (αντρικό ή γυναικείο γόνατο), γεγονότα που βοηθούν στην ιδανική τοποθέτηση των εμφυτευμάτων, δημιουργώντας τις συνθήκες ώστε η αρθροπλαστική να διαρκέσει περισσότερα χρόνια.
• Μικρότερη χειρουργική τομή, λιγότερος χειρουργικός χρόνος, μικρότερος τραυματισμός των ιστών κατά την διάρκεια της χειρουργικής επέμβασης λόγω των ειδικών εργαλείων που συνοδεύουν το εμφύτευμα.
• Μικρότερη απώλεια αίματος γεγονός που ελαχιστοποιεί την ανάγκη μετεγχειρητικής μετάγγισης.
• Λιγότερος μετεγχειρητικός πόνος.
• Μικρότερη χρονική διάρκεια παραμονής στην κλινική – δύο ημέρες.
• Η απόλυτη εφαρμογή των εμφυτευμάτων στο γόνατο του ασθενή προσφέρει εξαιρετική κινητικότητα, γρηγορότερη αποκατάσταση και ταχύτερη επιστροφή στις επαγγελματικές και καθημερινές του υποχρεώσεις.
Η μελέτη που γίνεται στην κάθε άρθρωση ξεχωριστά πριν το χειρουργείο με την υποβοήθηση της ψηφιακής τεχνολογίας αποτελεί ένα βήμα μπροστά σε σύγκριση με την χειρουργική με ηλεκτρονική πλοήγηση (navigator assisted surgery), ή με ρομποτική υποβοήθηση διότι οι δύο προηγούμενες μέθοδοι διενεργούν τις μετρήσεις του γόνατος κατά τη διάρκεια του χειρουργείου, γεγονός που αυξάνει τον χειρουργικό χρόνο, δημιουργεί μεγαλύτερη χειρουργική τομή για τη τοποθέτηση των ειδικών αισθητήρων για να μπορούν να αξιολογήσουν το κάτω άκρο ως εννιαία ανατομική μονάδα ώστε να διορθωθεί ο μηχανικός άξονας του κάτω άκρου όπως συμβαίνει με την εξατομικευμένη αρθροπλαστική γόνατος (PSI).
Η σύγχρονη τεχνολογία σε συνδυασμό με την πολυετή χειρουργική εμπειρία και τεχνογνωσία καταφέρνουν σήμερα να ανοίξουν μια νέα εποχή στην αντίληψη της αντικατάστασης των πασχόντων αρθρώσεων με μόνο στόχο τη προσέγγιση της τελειότητας.
Άρθρο στο περιοδικό BHMADONA στην εφημερίδα ΒΗΜΑ της ΚΥΡΙΑΚΗΣ, τεύχος Δεκεμβρίου 2015.
Άρθρο στο περιοδικό GLOW.
Int
Άρθρο στο περιοδικό 50 plus (Ελληνική έκδοση Αγγλικού περιοδικού).
Συνέντευξη στην εφημερίδα “ΤΥΠΟΣ ΘΕΣΣΑΛΟΝΙΚΗΣ” για την εξατομικευμένη αρθροπλαστική του γόνατος PSI.
ΠΑΡΟΥΣΙΑΣΗ ΠΕΡΙΣΤΑΤΙΚΩΝ
ΠΑΡΟΥΣΙΑΣΗ ΠΕΡΙΣΤΑΤΙΚΟΥ 1
Γυναίκα 67 ετών με βαριά αρθρίτιδα στο δεξί γόνατο και έντονη παραμόρφωση ραιβότητας (στατική μη φορτιζόμενη = 19 μοίρες και δυναμική φορτιζόμενη >25 μοίρες)
Παραμόρφωση ραιβότητας του γόνατος δεξιά και επιδείνωση του προβλήματος κατά τη διάρκεια της βάδισης.
Προεγχειρητική ηλεκτρονική μελέτη της παραμόρφωσης ραιβότητας του δεξιού γόνατος της ασθενούς. 19 μοίρες ραιβότητας δίχως φόρτιση του σκέλους.
Η ασθενής χειρουργήθηκε με την εξατομικευμένη αρθροπλαστική γόνατος PSI. Η διόρθωση του μηχανικού άξονα του σκέλους είναι εμφανής ανακουφίζοντας άμεσα την ασθενή από τον έντονο πόνο. Η ασθενής ανέκτησε τη χαμένη ψυχολογία και η κίνησή της γίνεται άνετα δίχως το αίσθημα του στραβού κάτω άκρου.
Έξι εβδομάδες μετά το χειρουργείο.
ΠΑΡΟΥΣΙΑΣΗ ΠΕΡΙΣΤΑΤΙΚΟΥ 2
Γυναίκα 73 ετών και βάρος 122 κιλά πάσχει από βαριά οστεοαρθρίτιδα των γονάτων άμφω. Η μεγάλη παραμόρφωση των κάτω άκρων σε συνδυασμό με τον έντονο πόνο που νιώθει στα γόνατα δημιουργούν μεγάλο πρόβλημα στην κίνηση της γυναίκας.
Η ασθενής κατά την διάρκεια της κλινικής εξέτασης προ του χειρουργείου.
Προεγχειρητική ακτινογραφία γονάτων σε ορθία θέση. Ανάδειξη της τελευταίου σταδίου οστεοαρθρίτιδας της ασθενούς.
Παραμόρφωση ραιβότητας του γόνατος η οποία φτάνει τις 17,9 μοίρες δίχως φόρτιση του δεξιού σκέλους.
Η ικανότητα της βάδισης της ασθενούς έχει διαταραχθεί. Η ποιότητα της ζωής της έχει πλήρως υποβαθμιστεί.
Η ασθενής χειρουργήθηκε στο δεξί γόνατο με την μέθοδο PSI εξατομικευμένη αρθροπλαστική γόνατος. Η παραμονή στην κλινική ήταν τρεις ημέρες κατά τις οποίες έλαβε την πλήρη ιατρική, νοσηλευτική και φυσικοθεραπευτική φροντίδα.
Μετά το χειρουργείο του δεξιού γόνατος. Ο μηχανικός άξονας του δεξιού κάτω άκρου έχει διορθωθεί πλήρως γεγονός που βοηθά εμβιομηχανικά την ασθενή να βαδίζει ευκολότερα και σε συνδυασμό με την κατάργηση του πόνου στην άρθρωση η ποιότητα της ζωής της ασθενούς έχει πλήρως αναβαθμιστεί
Φωτογραφία της ασθενούς από πίσω. Το αριστερό κάτω άκρο είναι πλέον πλήρως λειτουργικό.
Τρείς μήνες μετά το χειρουργείο της εξατομικευμένης αρθροπλαστικής του γόνατος PSI η ασθενής βαδίζει με σαφή βελτίωση σε σχέση με την βάδιση προ του χειρουργείου.
Τα υπέρβαρα άτομα με δείκτη μάζας σώματος ΒΜΙ>30 ή ακόμα και ΒΜΙ>40 αποτελούν μια από τις σαφής ενδείξεις για την μέθοδο της εξατομικευμένης αρθροπλαστικής γόνατος PSI.
Ο σχεδιασμός της επέμβασης διενεργείτε προ του χειρουργείου και το γεγονός αυτό βοηθά αρχικά κυρίως τον Ορθοπαιδικό χειρουργό για τον αρτιότερο σχεδιασμό της επέμβασης γεγονός που με τη κλασική μέθοδο δεν μπορεί να επιτευχθεί κατά τη διάρκεια του χειρουργείου λόγο του μεγάλου όγκου της άρθρωσης και κατά δεύτερο λόγο την ασθενής διότι η σωστή διόρθρωση του μηχανικού άξονα του κάτω άκρου προσδίδει στην επέμβαση θεωρητικά ένα μακροβιότερο αποτέλεσμα.
ΠΑΡΟΥΣΙΑΣΗ ΠΕΡΙΣΤΑΤΙΚΟΥ 3
Γυναίκα 58 ετών που πάσχει από βαριά οστεοαρθρίτιδα των γονάτων άμφω. Η ασθενής λόγω του έντονου πόνου στα γόνατα περιορίζει την κινητικότητά της αλλάζοντας σταδιακά την ποιότητα ζωής προς το χειρότερο.
Αποφασίστηκε να χειρουργηθεί με εξατομικευμένη αρθροπλαστική PSI στο αριστερό γόνατο αρχικά λόγω των εντονότερων συμπτωμάτων που εμφανίζει σε αυτό.
Μετά από εξέταση αξονικής τομογραφίας τριών σημείων σε ιατρικό κέντρο της Θεσσαλονίκης και μετά την διαδικασία της ηλεκτρονικής τρισδιάστατης PSI δημιουργίας των εξατομικευμένων εμφυτευμάτων σε κέντρο του εξωτερικού υποβλήθηκε σε αντικατάσταση της άρθρωσης του αριστερού γόνατος.
Βαριά οστεοαρθρίτιδα γονάτων άμφω. Παραμόρφωση ραιβότητας.
Προεγχειρητικός ακτινολογικός έλεγχος. Ανάδειξη των έντονων εκφυλιστικών αλλοιώσεων των γονάτων.
Μετά το χειρουργείο αρθροπλαστικής γόνατος PSI στο αριστερό γόνατο. Πλήρης διόρθωση του μηχανικού άξονα του κάτω άκρου. Η ασθενής βαδίζει πια δίχως πόνο στο αριστερό γόνατο λίγες εβδομάδες μετά το χειρουργείο.
Η ασθενής μετά από ένα χρόνο από το πρώτο χειρουργείο αποφασίζει να χειρουργήσουμε και το δεξί γόνατο με την εξατομικευμένη αρθροπλαστική PSI. Το κλινικό αποτέλεσμα θεωρείται άριστο από την ίδια καθώς 3 μήνες μετά το δεύτερο χειρουργείο μπορεί και κάνει όλες τις καθημερινές δραστηριότητες δίχως άλγος.
ΠΑΡΟΥΣΙΑΣΗ ΠΕΡΙΣΤΑΤΙΚΟΥ 4
Ασθενής 80 ετών με σοβαρή οστεοαρθρίτιδα στα γόνατα άμφω, η οποία το προκαλεί έντονο άλγος κατά τη βάδιση αλλά και κατά τη διάρκεια του ύπνου. Αποφασίζεται η αντιμετώπιση με εξατομικευμένη αρθροπλαστική γόνατος PSI αρχικά του δεξιού γόνατος.
Προχωρημένη οστεοαρθρίτιδα άμφω των γονάτων.
Προεγχειρητικός ακτινολογικός έλεγχος αναδεικνείει τη σοβαρότητας της νόσου στα γόνατα του ασθενούς.
Άμεσα μετά την εξατομικευμένη αρθροπλαστική PSI του δεξιού γόνατος. Το άλγος έχει υποχωρήσει και ο ασθενής βαδίζει άνετα λίγες ημέρες μετά το χειρουργείο.
ΠΑΡΟΥΣΙΑΣΗ ΠΕΡΙΣΤΑΤΙΚΟΥ 5
Γυναίκα 70 ετών με οστεοαρθρίτιδα κυρίως στο δεξί γόνατο. Αναφέρει έντονο άλγος κατά τη διάρκεια της βάδισης αλλά και κατά τη ξεκούραση καθώς και στη διάρκεια του ύπνου. Η ποιότητα της ζωής της ασθενούς έχει επηρεαστεί καθώς ο πόνος του δεξιού γόνατος την καθηλώνει μέσα στο σπίτι όλο και περισσότερο.
Φωτογραφίες της ασθενούς λίγο πριν την χειρουργική επέμβαση της εξατομικευμένης αρθροπλαστικής PSI του γόνατος δεξιά.
Ακτινογραφία των γονάτων πριν το χειρουργείο αναδεικνύει την αρθρίτιδα ιδίως της δεξιάς άρθρωσης.
Βάδιση της ασθενούς πριν το χειρουργείο. Η χωλότητα ωφείλεται στον πόνο του δεξιού της γόνατος.
Ένα μήνα μετά το χειρουργείο. Ο μηχανικός άξονας του δεξιού κάτω άκρου έχει πλήρως αποκατασταθεί.
Βάδιση της ασθενούς ένα μήνα μετά το χειρουργείο δίχως πόνο και περιορισμούς.
ΠΑΡΟΥΣΙΑΣΗ ΠΕΡΙΣΤΑΤΙΚΟΥ 6
Ασθενής γυναίκα 68 ετών με έντονο άλγος στα γόνατα και παραμόρφωση βλαισότητας στο δεξί.
Ψηφιακή σχεδίαση της εξατομικευμένης χειρουργικής επέμβασης για το δεξί γόνατο της ασθενούς PSI.
Εικόνα της ασθενούς μετά τη χειρουργική επέμβαση. Ο μηχανικός άξονας του δεξιού κάτω άκρου έχει αποκατασταθεί.
ΠΑΡΟΥΣΙΑΣΗ ΠΕΡΙΣΤΑΤΙΚΟΥ 7
Γυναίκα 68 ετών, πάσχει από σοβαρή οστεοαρθρίδα του αριστερού γόνατος το οποίο είναι σε παραμόρφωση βλαισότητας. Η ασθενής εκτός του ότι έχει ισχυρό πόνο στην πάσχουσα άρθρωση εμφανίζει και λειτουργικά προβλήματα στη βάδιση.
Δεύτερη ημέρα μετά το χειρουργείο. Ο μηχανικός άξονας του αριστερού κάτω άκρου έχει διορθωθεί πλήρως με την PSI αρθροπλαστική του γόνατος αριστερά.
Ένα μήνα μετά τη χειρουργική επέμβαση PSI εξατομικευμένης αρθροπλαστικής γόνατος αριστερά.
ΠΑΡΟΥΣΙΑΣΗ ΠΕΡΙΣΤΑΤΙΚΟΥ 8
Γυναίκα 61 ετών με βαριά αρθρίτιδα των γονάτων – εκφυλιστικού τύπου οστεοαρθρίτιδα-, η οποία υποφέρει από έντονο άλγος ιδιαίτερα στο δεξί γόνατο.
Ο πόνος επιδεινώνεται με την κόπωση αλλά τον τελευταίο καιρό εμφανίζει πόνο και κατά τη περίοδο της ανάπαυσης καθώς και στον ύπνο
Εικόνα των γονάτων της ασθενούς πριν την διενέργεια της PSI εξατομικευμένης αρθροπλαστικής του δεξιού γόνατος.
Ακτινολογική προεγχειρητική εικόνα των γονάτων άμφω. Βαριά εκφυλιστική οστεοαρθρίτιδα και στα δυο γόνατα.
Δύο μήνες μετά το χειρουργείο. Η διόρθωση του μηχανικού άξονα του δεξιού κάτω άκρου είναι εξαιρετικά επιτυχής.
Η ασθενής χρησιμοποιεί το χειρουργημένο γόνατό πλήρως δίχως πλέον τον πόνο που τις δημιουργούσε πολλά προβλήματα στη καθημερινότητά της.
6 μήνες μετά την εξατομικευμένη αρθροπλαστική γόνατος PSI.
Έξι μήνες μετά το χειρουργείο η ασθενής έχει ένα πλήρως λειτουργικό και ανώδυνο γόνατο γεγονός που έχει επαναφέρει και την άριστη ψυχολογία της και τη διάθεση για ζωή.
ΠΑΡΟΥΣΙΑΣΗ ΠΕΡΙΣΤΑΤΙΚΟΥ 9
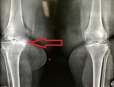
Γυναίκα 89 ετών πάσχει από σοβαρή αρθρίτιδα των γονάτων άμφω. Το δεξί γόνατο προκαλεί ιδιαίτερο πόνο, έχει παραμόρφωση ραιβότητας καθώς και αστάθεια δημιουργώντας προβλήματα στην ασθενή στη βάδιση αλλά και στον ύπνο.
Πριν και 45 ημέρες μετά την χειρουργική επέμβαση. Ο μηχανικός άξονας του κάτω άκρου έχει διορθωθεί πλήρως, η σταθερότητα έχει επανέλθει και ο πόνος έχει εξαφανιστεί.
ΠΑΡΟΥΣΙΑΣΗ ΠΕΡΙΣΤΑΤΙΚΟΥ 10
Γυναίκα 73 ετών που πάσχει από προχωρημένη οστεοαρθρίτιδα στα γόνατα ιδίως όμως αριστερά. Τα γόνατά της έχουν παραμόρφωση βλαισότητας με το αριστερό να φτάνει τις 17 περίπου μοίρες γεγονός να παύει να είναι λειτουργικό δημιουργώντας προβλήματα στη βάδιση.
Η παραμόρφωση βλαισότητας στο αριστερό γόνατο είναι φανερή ακόμα και όταν η ασθενής βρίσκεται στην υπτία θέση (ξαπλωτή).
Προεγχειρητικός ακτινολογικός έλεγχος σε όρθια θέση της ασθενούς. Η παραμόρφωση βλαισότητας στο αριστερό γόνατο ξεπερνά τις 15 μοίρες με φόρτιση των σκελών.
Μέτρηση της παραμόρφωσης της βλαισότητας κατά τον προεγχειρητικό ηλεκτρονικό σχεδιασμό της εξατομικευμένης αρθροπλαστικής γόνατος PSI. Δίχως φόρτιση του αριστερού σκέλους ξεπερνά τις 10 μοίρες.
Δύο μήνες μετά τη χειρουργική επέμβαση της εξατομικευμένης αρθροπλαστικής του αριστερού γόνατος PSI. Ο μηχανικός άξονας του αριστερού κάτω άκρου έχει διορθωθεί πλήρως.
Η ποιότητα της βάδισης έχει σαφώς βελτιωθεί. Η ασθενής δηλώνει απολύτως ικανοποιημένη από το αποτέλεσμα πρώτον λόγο του ότι δεν πονά πια καθόλου και κατά δεύτερο λόγο του ότι το κάτω άκρο ευθυγραμμίστηκε, βελτιώνοντας την κίνηση της άρθρωσης και κατά συνέπεια του βασίσματός της.







































































