One of the most important developments in the history of orthopedics is the total replacement of the knee joint with special materials. The first surgery was in 1968 and until today the improvement of surgical techniques and materials are constantly upgrading its effectiveness.
Today with the help of electronic technology and surgical expertise, the intervention of total knee arthroplasty changes page.
The new era of application to the patient individualized implant arthroplasty, gives the absolute harmonization of the materials to the specific anatomy of each human individual in need of replacement of the knee joint.
It can be applied to patients suffering from arthritis, which is significantly affecting the joint (osteoarthritis, rheumatoid arthritis, advanced traumatic arthritis etc)
The personalized knee arthroplasty – Patient Specific Instrument PSI-, differs from the conventional method in that the implants will be placed in femur and tibia (knee), manufactured according to the anatomical peculiarities of the individual taking into consideration the specific slopes and turns having extended lower limb.
To achieve this requires a process of study and creation of the implant by a qualified group of people starting from the specific Orthopaedic, their biomechanical scientists and finally special development centers and creation of implants in Switzerland.
PROCESS
After clinical examination and study the radiographs by the skilled Orthopaedic, the patient makes CT three-point (knee, hip and ankle).
CT-scan hip-knee-ankle. Study of the affected lower limb as anatomical and mechanical unit.
Then the tests are sent to a special center in Switzerland and qualified team of scientists with the help of cutting-edge electronic technology and in cooperation with the Orthopaedic Surgeon create the knee implants arthroplasty which can be applied in this patient only. The process takes four weeks.
The implant is sent to the physician who will alert the patient to perform the surgery.
3D electronical patients knee model. Pre-operative planing and processing
With the special electronical procedure the titanium implant restore completely the normal mechanical axis of the lower limb (black vertical line)
Patient specific materials. Every patient has unique anatomy and size. PSI is the best method for preop evaluation and knowledge of special unique anatomy of the patients.

BENEFITS
• The absolute measurement of the mechanical axis of the limb to CT and study of the peculiarities of the knee joint of each individual, as well as diversification of the knee according to gender (male or female knee), events that help build the ideal implant creating the conditions for the replacement to last longer.
• A smaller incision, shorter operative time, less tissue trauma during surgery because of the special tools supplied with the implant.
• Less blood loss which minimizes the need for postoperative transfusion.
• Less postoperative pain.
• Less time spent in hospital.
• The full application of the implants in the patient’s knee offers excellent mobility, faster recovery and a faster return to professional and daily obligations.
The study made in each joint separately before surgery is a step forward as compare to the surgical electronic navigation (navigator assisted surgery), or robotic assistance because the two previous methods carry out measurements of the knee during the surgery, which increasing the surgical time, but without can evaluate the lower limb as open plan anatomical unit to correct the mechanical axis of the lower limb as is the personalized knee arthroplasty (PSI).
Modern technology combined with years of surgical experience and expertise to manage today opened a new era in understanding the replacement of affected joints with only aim to approach perfection.
Article in magazine BHMADONA, newspaper ‘ΒΗΜΑ της ΚΥΡΙΑΚΗΣ’ – VIMA
Interview in GLOW magazine: Patient Specific Knee Arthroplasty PSI
50 plus magazine (Greek edition)
Interview is newspaper “TIPOS THESSALONIKIS”: Patient Specific knee arthroplasty.
CASES REPORT
CASE REPORT 1
Female 67 years old with severe arthritis in his right knee and severe varus deformity (Static non loaded = 19 degrees and dynamic loaded> 25 degrees)
Patient Specific electronical preop plan. Severe non weight bearing varus deformity
Six weeks post op. The mechanical axis of the right lower limb is comletely restored
CASE REPORT 2
Female 73 years old and weight 122 kg suffering from severe osteoarthritis of the knee bilaterally. The large deformation of the legs combined with the intense knee pain create a big problem in the movement of women.
The patient during a clinical examination prior to surgery
Pre-op X-ray, severe osteoartrhitis of the knees bilaterally (final stage – bone to bone contact)
Varus deformity of the right knee, which reaches 17.9 degrees without weight bearing the right lower limb
Osteoarthritic varus knee pre-op photo
After surgery PSI knee arthroplasty of the right knee (green line).
The mechanical axis of the right lower limb is fully corrected that helps the patient to walk more easily and in combination with the removal of pain in the joint, the quality of the patient’s life has been completely upgraded
3 months post-op
CASE REPORT 3
Female 58 years suffering from severe osteoarthritis of the knees bilaterally. The patient because of severe pain in the knees limits the mobility and gradually changing the quality of life.
She was decided to perform surgery with patient specific arthroplasty PSI in the left knee initially due to stronger symptoms.
After three areas CT scan the process of three-dimensional electronic PSI creation of customized implants.
Varus knee due to severe osteoarthritis. Pre-op photos
Pre-op X-rays. Severe degenerative osteoarthritis of the knees with varus deformity
Weeks after PSI left knee arthroplasty. The patient walking without pain and the mechanical axis of the left leg is restored
PSI of both knees. Three months after the second operation (right knee)
CASE REPORT 4
A patient 80 years with severe osteoarthritis of the knees bilateral which it causes severe pain when walking and during sleep. He was decided to operate with personalized knee replacement PSI (Patient Specific Instrument), initially his right knee.
Pre-op photos. Severe osteoartrhitis of the knees. Varus deformity
Pre-op X-ray. Knees osteoarthritis
Days after PSI right knee arthroplasty
CASE REPORT 5
Female 70 years old suffering of osteoarthritis mostly in the right knee. She reports severe pain during walking and during rest and sleeping. The quality of life of the patient is affected because of pain of the right knee.
Before the operation of patient specific knee arthroplasty PSI
Pre-op X-ray. Osteoarthritis of the right knee
Pre-op walking, the limping is due to severe right knee pain
One month post-op
One month post-op walking without pain and limping
CASE REPORT 6
Female patient 68 years old suffering from severe pain in the knees and valgus deformity on the right knee. Pre operative condition of the knees
Pre-operative computer assisted planning
After Patient Specific Knee replacement PSI the mechanical axis of the right lower limb is completely restored
CASE REPORT 7
Female 68 years, suffering from severe osteoarthritis of the left knee which is in valgus deformity. The patient in addition to having a strong pain in the affected joint displays and operational problems in walking.
Severe left knee osteoarthritis and valgus deformity
Pre-op X-ray. Knee osteoarthritis bilaterally – especially left
PSI Total knee arthroplasty left. The mechanical axis of the left lower limb is completely restored
One month post-op, the valgus deformity of the left lower limb is completely restored
CASE REPORT 8
Female 61 years old with severe arthritis of the knee – degenerative osteoarthritis, which suffers from very intense pain in the right knee.
The pain worsens with fatigue but lately shows pain and the period of rest and sleep.
Pre-op patients knees photos. Varus deformity
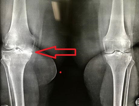
Pre-op X-ray. Severe knee osteoarthritis bilaterally
Two months post-op after operation. The varus deformity is completely restoted
Six months post-op. The mechanical axis of the operated right lower leg is fully restored
The operated knee is fully functional
CASE REPORT 9
Female 89 years old suffers from severe arthritis of the knees bilateral. The right knee has severe varus deformity causing pain, creating special problems in patient with walking and sleeping.
Pre and 45 days postop. The mechanical axis of the right leg has completely restored, the pain disappear and the quality of her life upgrated.
CASE REPORT 10
Female 73 years old suffering from advanced osteoarthritis in the knees but left knee is more severe. The knees have valgus deformity. The left knee reach about 17 degrees of valgus, creating problems in walking and day living.
Pre-op X-ray. Valgus deformity of the knees
Electronicaly measurement of valgus deformation in valgus preoperative with Patient Spesicic Instruments System. Without weight bearing of the left lower limb the angle exceeds 10 degrees
Two months post-op. The mechanical axis of the left knee is fully restored. There is no valgus deformity yet
The quality of gait has improved. The patient declares absolutely satisfied with the result of Patient Specific Arthroplasty PSI firstly of not aching anymore at all and secondly that the lower limb has aligned by improving joint motion and walking.







































































